Table of Contents
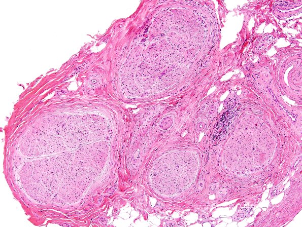
Washington University Experience | PERIPHERAL NEUROPATHY | 7A GUILLAIN-BARRE SYNDROME (GBS) | 2A1 GBS (Case 2) H&E 1
Case 2 History ---- The patient is a 73-year-old male with weakness. Per clinical records, the patient has a history of myelofibrosis, and proximal muscle weakness of several weeks duration. The patient had an MRI of the cervical spine that showed leptomeningeal enhancement of the spinal cord from C2 to C4 concerning for leptomeningeal metastasis, carcinomatosis, and granulomatous disease. Conduction studies showed an axonal sensory motor polyneuropathy. Operative procedure: Right quadriceps muscle biopsy, and right sural nerve biopsy. ---- 2A1,2 Several levels of the sural nerve in this case show epineurial and perineurial inflammation. (H&E)
