Table of Contents



Washington University Experience | PERIPHERAL NEUROPATHY | 7A GUILLAIN-BARRE SYNDROME (GBS) | 2A2 GBS (Case 2) H&E 4

2A2 GBS (Case 2) H&E 4
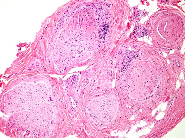
Several levels of the sural nerve in this case show epineurial and perineurial inflammation. (H&E)


Gallery RSS RSS Feed | Archive View | Login | Powered by Zenphoto