Table of Contents



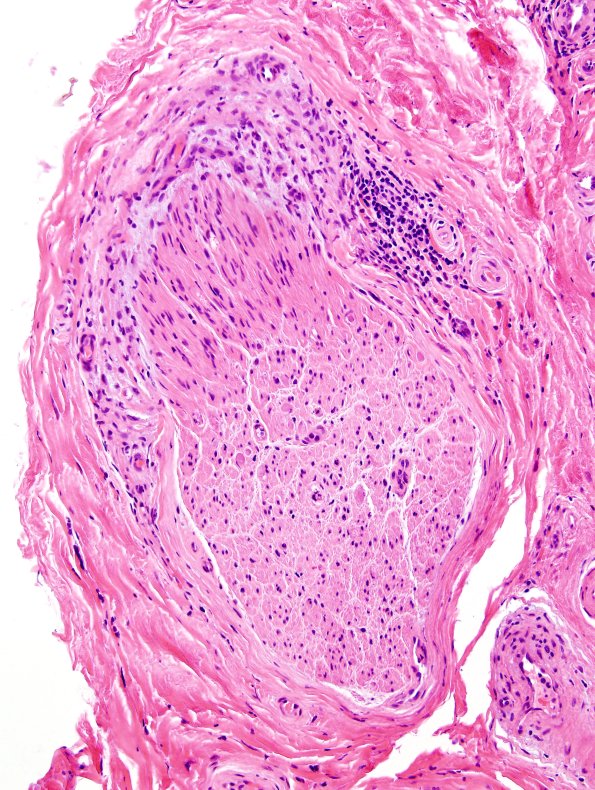
Washington University Experience | PERIPHERAL NEUROPATHY | 7A GUILLAIN-BARRE SYNDROME (GBS) | 2A3 GBS (Case 2) H&E 2

2A3 GBS (Case 2) H&E 2
Higher magnification of image #2A1. (H&E)


Gallery RSS RSS Feed | Archive View | Login | Powered by Zenphoto