Table of Contents
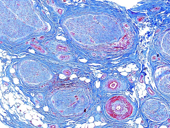
Washington University Experience | PERIPHERAL NEUROPATHY | 7A GUILLAIN-BARRE SYNDROME (GBS) | 2B GBS (Case 2) Trichrome
A trichrome stain shows disruption of the perineurium and a general increase in endoneurial collagen. (Trichrome)
