Table of Contents



Washington University Experience | PERIPHERAL NEUROPATHY | 7A GUILLAIN-BARRE SYNDROME (GBS) | 2C1 GBS (Case 2) CD3 1

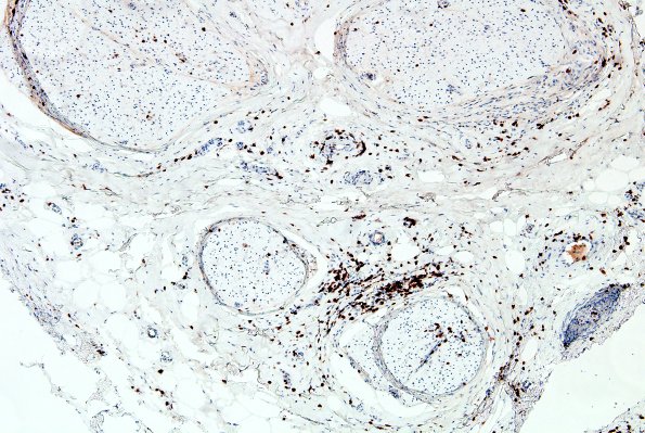
2C1 GBS (Case 2) CD3 1
2C1,2 Several magnifications of endoneurial and perineurial T cell inflammation (CD3 IHC)


Gallery RSS RSS Feed | Archive View | Login | Powered by Zenphoto