Table of Contents



Washington University Experience | PERIPHERAL NEUROPATHY | 7A GUILLAIN-BARRE SYNDROME (GBS) | 2C2 GBS (Case 2) CD3 3

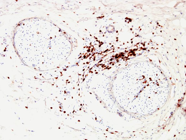
2C2 GBS (Case 2) CD3 3
Several magnifications of endoneurial and perineurial T cell inflammation (CD3 IHC)


Gallery RSS RSS Feed | Archive View | Login | Powered by Zenphoto