Table of Contents



Washington University Experience | PERIPHERAL NEUROPATHY | 7A GUILLAIN-BARRE SYNDROME (GBS) | 2D3 GBS (Case 2) CD68 6

2D3 GBS (Case 2) CD68 6
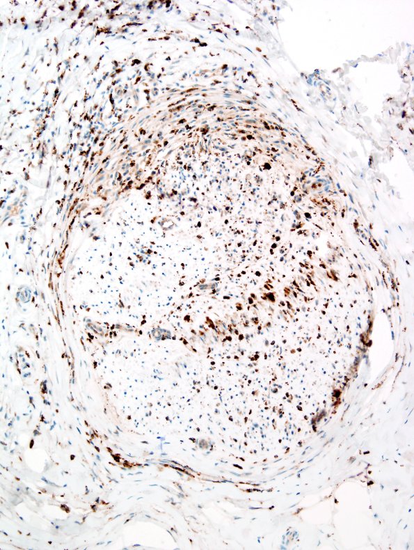
The endoneurium and perineurium contain numerous macrophages. (CD68 IHC)


Gallery RSS RSS Feed | Archive View | Login | Powered by Zenphoto