Table of Contents
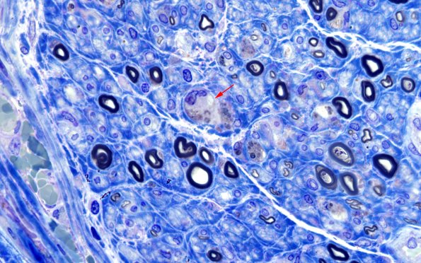
Washington University Experience | PERIPHERAL NEUROPATHY | 7A GUILLAIN-BARRE SYNDROME (GBS) | 2E5 GBS (Case 2) Plastic 100X 5 copy
Several denuded axons (arrows) are associated with adjacent macrophage ingested myelin debris. (Plastic sections)
