Table of Contents
Washington University Experience | PERIPHERAL NEUROPATHY | 7A GUILLAIN-BARRE SYNDROME (GBS) | 2F1A GBS (Case 2) M 072 - Copy
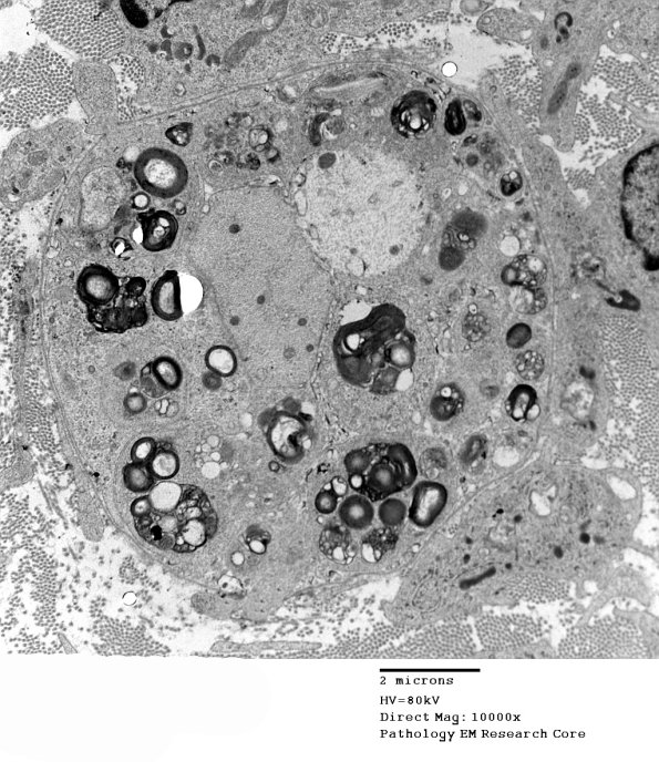
2F1A,B A denuded axon is accompanied by multiple macrophage processes containing myelin debris. (electron micrograph)
