Table of Contents
Washington University Experience | PERIPHERAL NEUROPATHY | 7A GUILLAIN-BARRE SYNDROME (GBS) | 2F1B GBS (Case 2) EM 073 - Copy
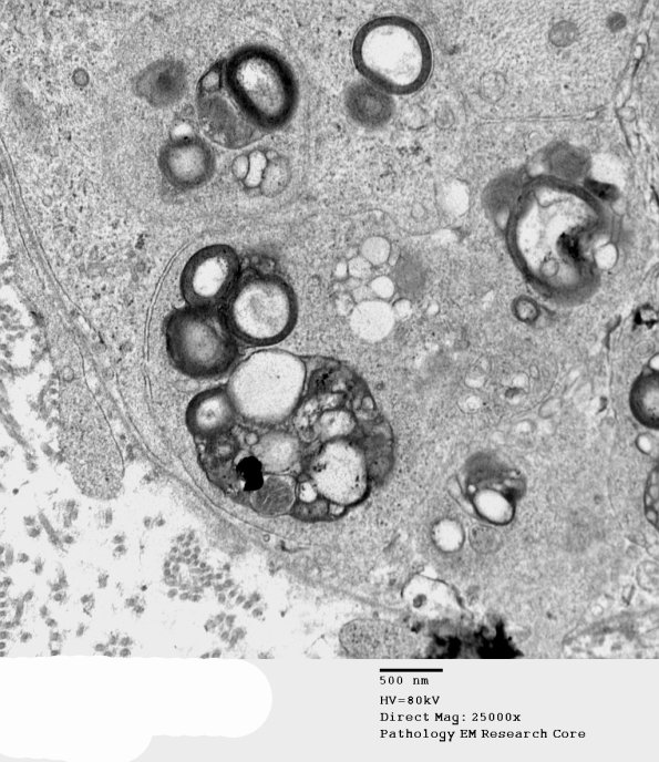
A denuded axon is accompanied by multiple macrophage processes containing myelin debris. (electron micrograph)
