Table of Contents
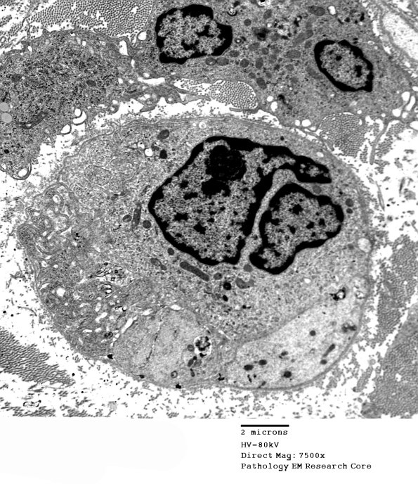
Washington University Experience | PERIPHERAL NEUROPATHY | 7A GUILLAIN-BARRE SYNDROME (GBS) | 2F2A (Case 2) EM 007 - Copy
2F2A,B A demyelinated axon with an intra-Schwann cell adjacent macrophage with numerous pseudopods. Notice the adjacent endoneurial macrophage. (electron micrograph)
