Table of Contents
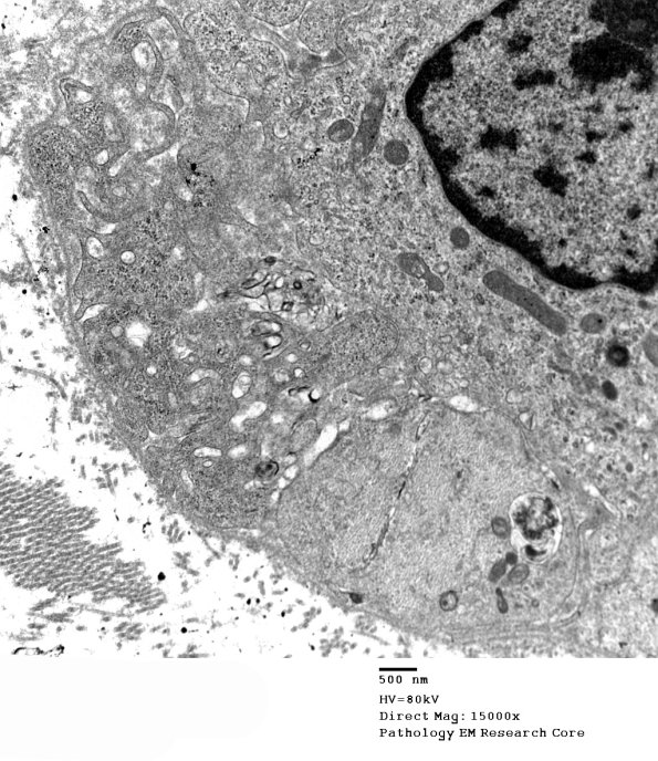
Washington University Experience | PERIPHERAL NEUROPATHY | 7A GUILLAIN-BARRE SYNDROME (GBS) | 2F2B GBS (Case 2) EM 008 - Copy
A demyelinated axon with an intra-Schwann cell adjacent macrophage with numerous pseudopods. Notice the adjacent endoneurial macrophage. (electron micrograph)
