Table of Contents
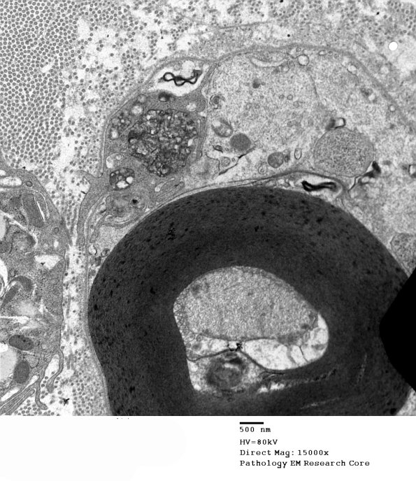
Washington University Experience | PERIPHERAL NEUROPATHY | 7A GUILLAIN-BARRE SYNDROME (GBS) | 2F3A GBS (Case 2) EM 019 - Copy
2F3A,B In these micrographs the process of macrophage-mediated demyelination has barely begun with a macrophage process originating outside the Schwann cell and basal lamina extending within the sheath contacting the otherwise normal myelin. Note the axon is intact. (electron micrograph)
