Table of Contents
Washington University Experience | PERIPHERAL NEUROPATHY | 7A GUILLAIN-BARRE SYNDROME (GBS) | 2F4A GBS (Case 2) EM 013 - Copy
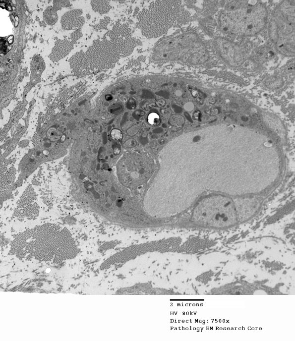
2F4A,B The axon is already demyelinated by the macrophage within the Schwann cell sheath which has two parts, one of which is in the endoneurial space. (electron micrograph)
