Table of Contents
Washington University Experience | PERIPHERAL NEUROPATHY | 7A GUILLAIN-BARRE SYNDROME (GBS) | 2F4B GBS (Case 2) EM 014 - Copy
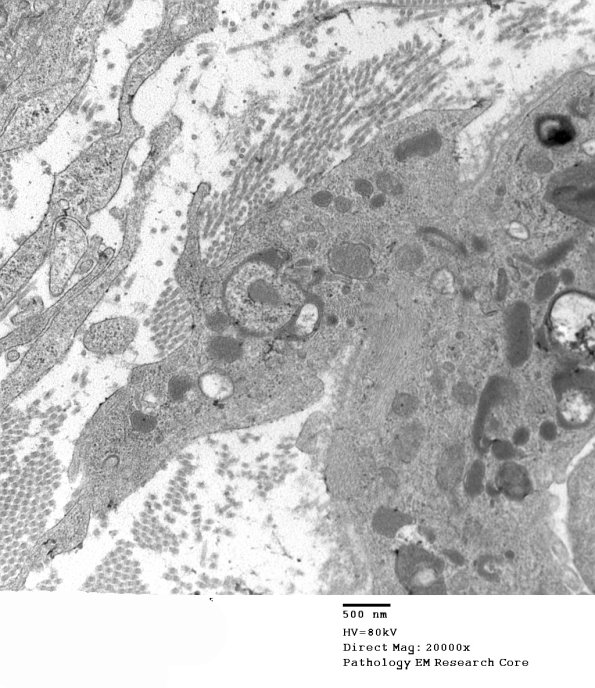
The axon is already demyelinated by the macrophage within the Schwann cell sheath which has two parts, one of which is in the endoneurial space. (electron micrograph)
