Table of Contents
Washington University Experience | PERIPHERAL NEUROPATHY | 7A GUILLAIN-BARRE SYNDROME (GBS) | 2F5A Case 2 074 - Copy
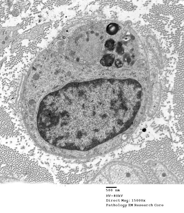
2F5A,B The nucleated cell is a Schwann cell which no longer myelinates the axon in its cytoplasm. A process containing myelin debris likely belongs to a macrophage, a portion of which extends a process outside of the Schwann cell.. (electron micrograph)
