Table of Contents



Washington University Experience | PERIPHERAL NEUROPATHY | 7A GUILLAIN-BARRE SYNDROME (GBS) | 2F5B Case 2 Nerve_075 - Copy

2F5B Case 2 Nerve_075 - Copy
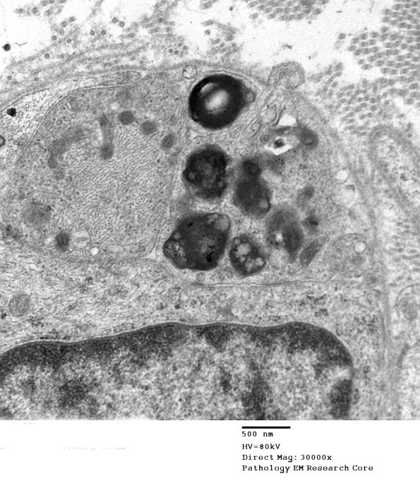
Higher magnification of image #2F5A. (electron micrograph)


Gallery RSS RSS Feed | Archive View | Login | Powered by Zenphoto