Table of Contents
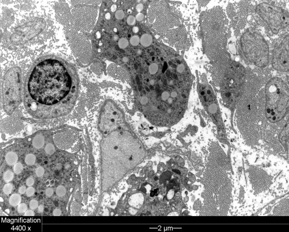
Washington University Experience | PERIPHERAL NEUROPATHY | 7A GUILLAIN-BARRE SYNDROME (GBS) | 2F6 Case 2 Grid2_006 - Copy
Several macrophages with partially metabolized myelin debris cluster near a demyelinated axon. There is no way in such a fait accompli that macrophage-mediated demyelination can be proven by ultrastructure. (electron micrograph)
