Table of Contents



Washington University Experience | PERIPHERAL NEUROPATHY | 7A GUILLAIN-BARRE SYNDROME (GBS) | 2F7C GBS (Case 2) EM 023 - Copy

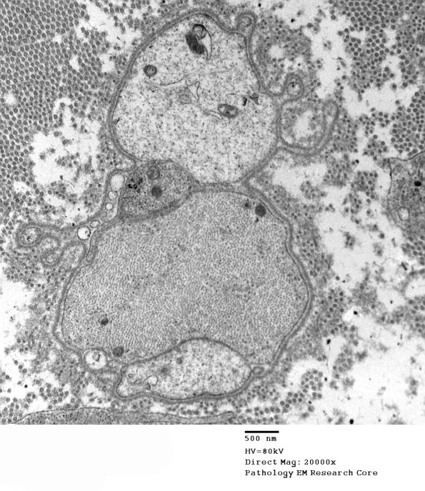
2F7C GBS (Case 2) EM 023 - Copy
Completely demyelinated axons and scattered associated macrophages. (electron micrographs)


Gallery RSS RSS Feed | Archive View | Login | Powered by Zenphoto