Table of Contents



Washington University Experience | PERIPHERAL NEUROPATHY | 7A GUILLAIN-BARRE SYNDROME (GBS) | 2F8A GBS (Case 2) EM 082 - Copy

2F8A GBS (Case 2) EM 082 - Copy
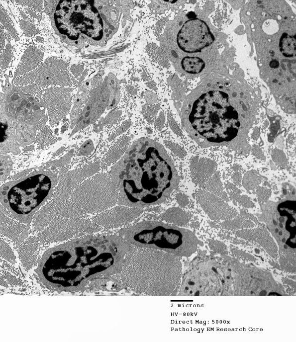
2F8A,B This case exhibits numerous lymphocytes within the endoneurium. (electron micrographs)


Gallery RSS RSS Feed | Archive View | Login | Powered by Zenphoto