Table of Contents



Washington University Experience | PERIPHERAL NEUROPATHY | 7A GUILLAIN-BARRE SYNDROME (GBS) | 2F8B GBS (Case 2) EM 083 - Copy

2F8B GBS (Case 2) EM 083 - Copy
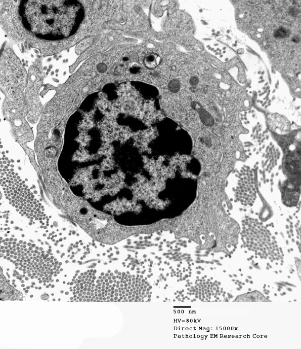
This case exhibits numerous lymphocytes within the endoneurium. (electron micrographs)


Gallery RSS RSS Feed | Archive View | Login | Powered by Zenphoto