Table of Contents



Washington University Experience | PERIPHERAL NEUROPATHY | 7A GUILLAIN-BARRE SYNDROME (GBS) | 2F9 GBS (Case 2) EM 064 - Copy

2F9 GBS (Case 2) EM 064 - Copy
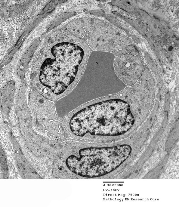
It is not unusual to see small venules with prominent endothelial cells. (electron micrograph)


Gallery RSS RSS Feed | Archive View | Login | Powered by Zenphoto