Table of Contents
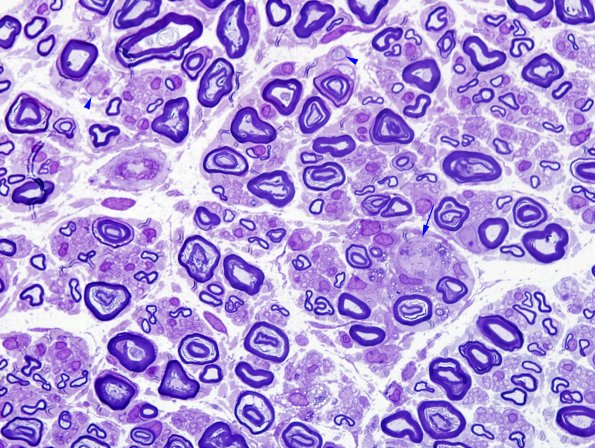
Washington University Experience | PERIPHERAL NEUROPATHY | 7A GUILLAIN-BARRE SYNDROME (GBS) | 3A1 GBS (Case 3) Nerve Bx Plastic 1 copy.jpg
Case 3 History ---- Patient with weakness and poorly characterized sensory issues. Operative procedure: Sural nerve biopsy. ---- 3A1 Although the concentric pale rings within the myelin sheaths are likely stretch artifact, there are scattered cells with poorly resolved debris (arrow) (Plastic section)
