Table of Contents
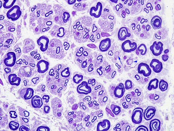
Washington University Experience | PERIPHERAL NEUROPATHY | 7A GUILLAIN-BARRE SYNDROME (GBS) | 3A2 GBS (Case 3) Nerve Bx Plastic 3 copy.jpg
3A2,3 In other blocks there are numerous demyelinated axons (arrows) and a few remyelinating forms (arrowhead, 3A2) (Plastic sections)
