Table of Contents



Washington University Experience | PERIPHERAL NEUROPATHY | 7A GUILLAIN-BARRE SYNDROME (GBS) | 3B10 NB84-12 GBS Nerve Bx_009 - Copy

3B10 NB84-12 GBS Nerve Bx_009 - Copy
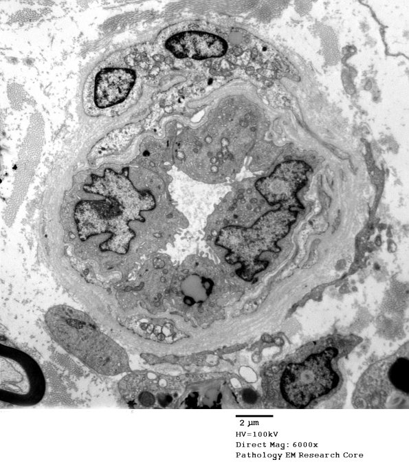
An endoneurial vessel with prominent endothelium. (electron micrograph)


Gallery RSS RSS Feed | Archive View | Login | Powered by Zenphoto