Table of Contents
Washington University Experience | PERIPHERAL NEUROPATHY | 7A GUILLAIN-BARRE SYNDROME (GBS) | 3B1C Case 3 GBS Nerve Bx_026 - Copy
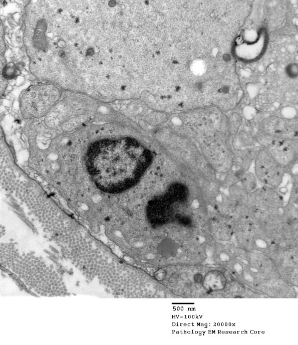
Multiple cells have entered the sub-basal lamina space and engulfed myelin debris, a process largely completed. (electron micrographs)
