Table of Contents
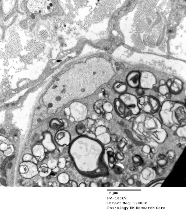
Washington University Experience | PERIPHERAL NEUROPATHY | 7A GUILLAIN-BARRE SYNDROME (GBS) | 3B2A GBS (Case 3) EM 034 - Copy
3B2A,B A naked axon surrounded by macrophage processes containing myelin debris. (electron micrographs)
