Table of Contents



Washington University Experience | PERIPHERAL NEUROPATHY | 7A GUILLAIN-BARRE SYNDROME (GBS) | 3B2B GBS (Case 3) EM 035 - Copy

3B2B GBS (Case 3) EM 035 - Copy
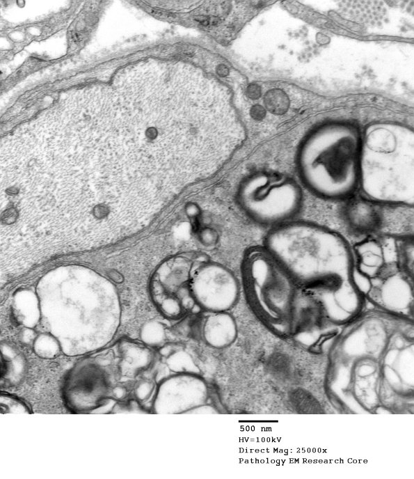
A naked axon surrounded by macrophage processes containing myelin debris. (electron micrographs)


Gallery RSS RSS Feed | Archive View | Login | Powered by Zenphoto