Table of Contents
Washington University Experience | PERIPHERAL NEUROPATHY | 7A GUILLAIN-BARRE SYNDROME (GBS) | 3B3A Case 3 GBS Nerve Bx_013 - Copy
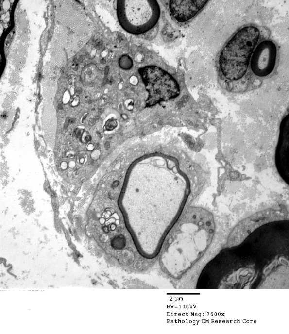
3B3A-C I think this is remyelination after completion of demyelination but some calls are iffy. (electron micrographs)
