Table of Contents
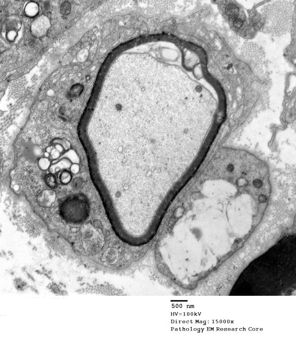
Washington University Experience | PERIPHERAL NEUROPATHY | 7A GUILLAIN-BARRE SYNDROME (GBS) | 3B3B Case 3 GBS Nerve Bx_010 - Copy
I think this is remyelination after completion of demyelination but some calls are iffy. (electron micrographs)
