Table of Contents



Washington University Experience | PERIPHERAL NEUROPATHY | 7A GUILLAIN-BARRE SYNDROME (GBS) | 3B4A GBS (Case 3) EM 029 - Copy

3B4A GBS (Case 3) EM 029 - Copy
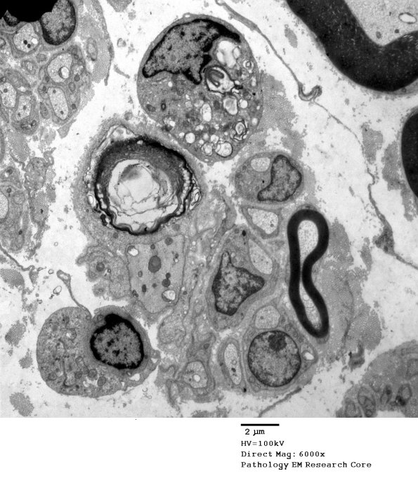
3B4A,B Incomplete demyelination. (electron micrograph)


Gallery RSS RSS Feed | Archive View | Login | Powered by Zenphoto