Table of Contents



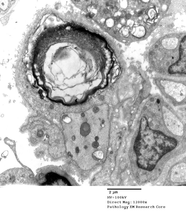
Washington University Experience | PERIPHERAL NEUROPATHY | 7A GUILLAIN-BARRE SYNDROME (GBS) | 3B4B Case 3 GBS Nerve Bx_030 - Copy

3B4B Case 3 GBS Nerve Bx_030 - Copy
Higher magnification of image #3B4A. (electron micrograph)


Gallery RSS RSS Feed | Archive View | Login | Powered by Zenphoto