Table of Contents
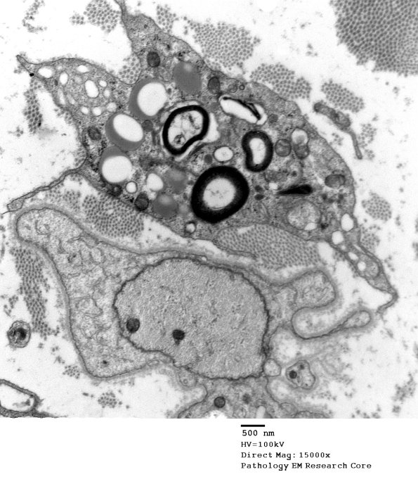
Washington University Experience | PERIPHERAL NEUROPATHY | 7A GUILLAIN-BARRE SYNDROME (GBS) | 3B5 GBS (Case 3) EM 033 - Copy
A demyelinated axon, adjacent Schwann cell process and a nearby macrophage. Note the free basal lamina. (electron micrograph)
