Table of Contents



Washington University Experience | PERIPHERAL NEUROPATHY | 7A GUILLAIN-BARRE SYNDROME (GBS) | 3B6 Case 3 GBS Nerve Bx_031 - Copy

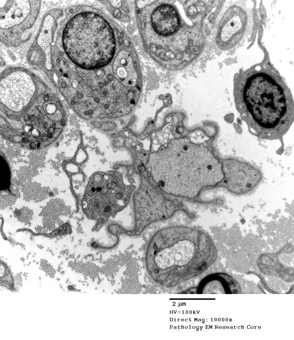
3B6 Case 3 GBS Nerve Bx_031 - Copy
3B6-9 Multiple examples of naked and remyelinating axons. (electron micrographs)


Gallery RSS RSS Feed | Archive View | Login | Powered by Zenphoto