Table of Contents



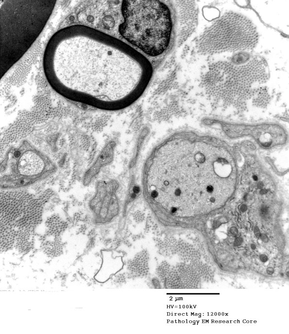
Washington University Experience | PERIPHERAL NEUROPATHY | 7A GUILLAIN-BARRE SYNDROME (GBS) | 3B7 Case 3 GBS Nerve Bx_015 - Copy

3B7 Case 3 GBS Nerve Bx_015 - Copy
Multiple examples of naked and remyelinating axons. (electron micrographs)


Gallery RSS RSS Feed | Archive View | Login | Powered by Zenphoto