Table of Contents



Washington University Experience | PERIPHERAL NEUROPATHY | 7A GUILLAIN-BARRE SYNDROME (GBS) | 3B8 GBS (Case 3) EM 017 - Copy

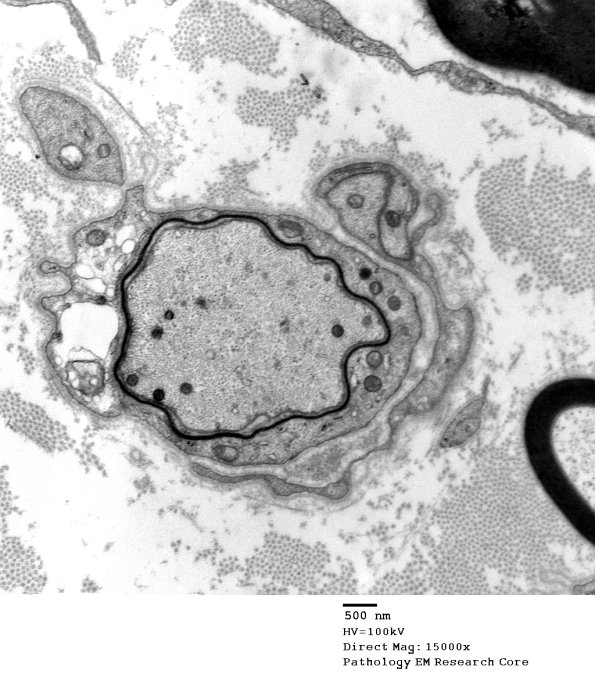
3B8 GBS (Case 3) EM 017 - Copy
Multiple examples of naked and remyelinating axons. (electron micrographs)


Gallery RSS RSS Feed | Archive View | Login | Powered by Zenphoto