Table of Contents



Washington University Experience | PERIPHERAL NEUROPATHY | 7A GUILLAIN-BARRE SYNDROME (GBS) | 4B1 GBS,, fulminant (Case 4) NF 1

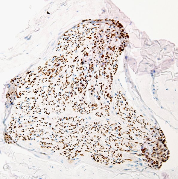
4B1 GBS,, fulminant (Case 4) NF 1
4B1,2 Some fascicles have a well preserved complement of axons. (NF IHC)


Gallery RSS RSS Feed | Archive View | Login | Powered by Zenphoto