Table of Contents



Washington University Experience | PERIPHERAL NEUROPATHY | 7A GUILLAIN-BARRE SYNDROME (GBS) | 4C GBS, fulminant (Case 4) CD163 7

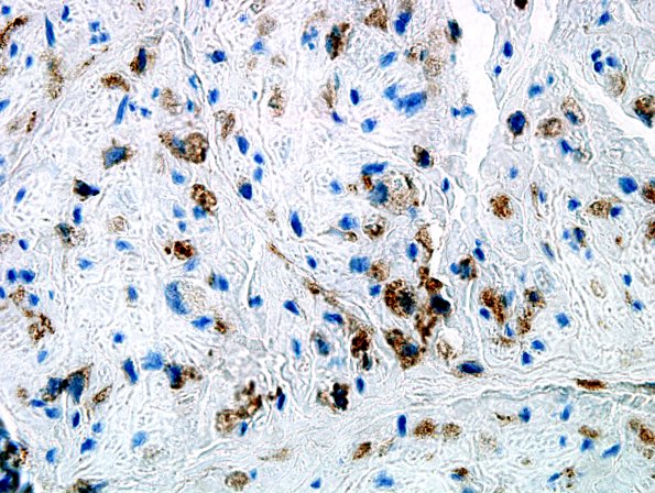
4C GBS, fulminant (Case 4) CD163 7
Many fascicles have large numbers of macrophages. (CD68 IHC)


Gallery RSS RSS Feed | Archive View | Login | Powered by Zenphoto