Table of Contents
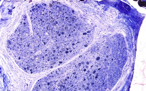
Washington University Experience | PERIPHERAL NEUROPATHY | 7A GUILLAIN-BARRE SYNDROME (GBS) | 4D1, fulminant (Case 4) Plastic 20X
4D1,2 Plastic sections show a variable appearance including marked axonal degeneration. Analysis of this area showed no residual myelinated axons, only degenerated axons. (Plastic sections)
