Table of Contents
Washington University Experience | PERIPHERAL NEUROPATHY | 7A GUILLAIN-BARRE SYNDROME (GBS) | 4D4 GBS, fulminant (Case 4) 058 - Copy
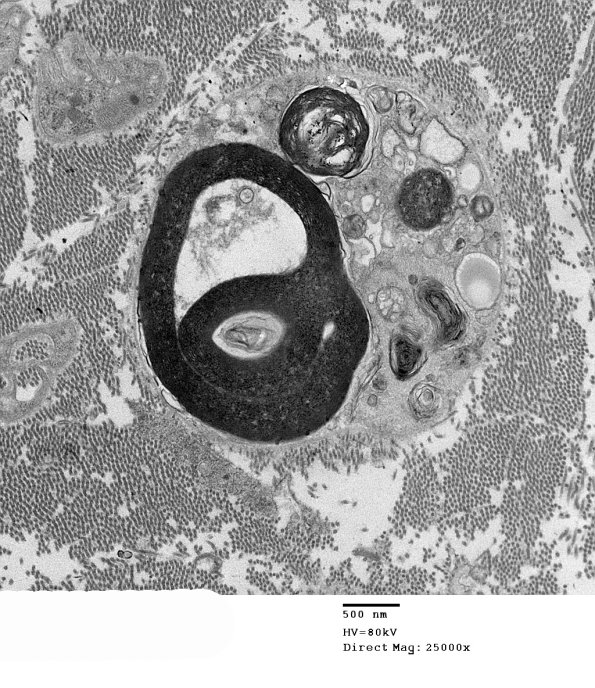
The appearance of this part of the biopsy showed numerous degenerating axons. (electron micrographs)
