Table of Contents
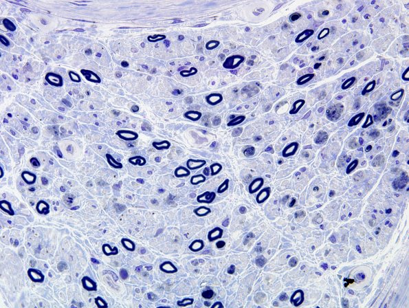
Washington University Experience | PERIPHERAL NEUROPATHY | 7A GUILLAIN-BARRE SYNDROME (GBS) | 4E2 GBS, fulminant (Case 4) Plastic 1C.jpg
Another region of the biopsy showed significant numbers of myelinated axons and, at higher magnifications, showed hints of demyelination. (Plastic sections)
