Table of Contents
Washington University Experience | PERIPHERAL NEUROPATHY | 7A GUILLAIN-BARRE SYNDROME (GBS) | 4E3 GBS, fulminant (Case 4) Plastic 14 copy copy
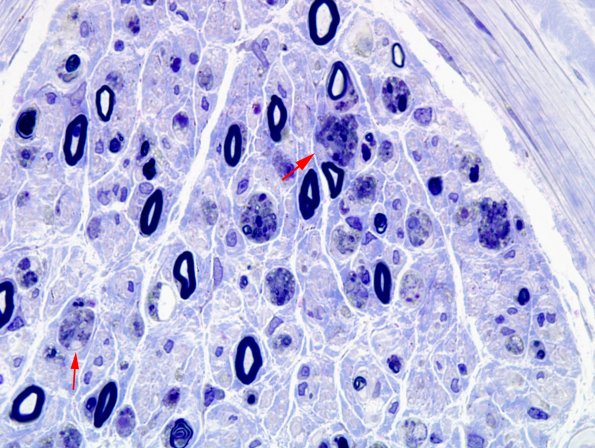
4E3,4 In some areas clear cut demyelination was identified (arrows). (Plastic sections)
