Table of Contents
« prev
next »
Washington University Experience
|
PERIPHERAL NEUROPATHY
|
7A GUILLAIN-BARRE SYNDROME (GBS)
|
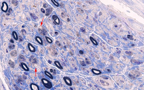
4E4 , fulminant (Case 4) Plastic 100X 1 copy
In some areas clear cut demyelination was identified (arrows). (Plastic sections)
Image Info
Camera Maker:
Olympus
Camera Model:
DP74
Shutter Speed:
49/1250 sec
Metering Mode:
Multi-Spot
Gallery RSS
|
Archive View
|
Login
|
Powered by
Zenphoto