Table of Contents



Washington University Experience | PERIPHERAL NEUROPATHY | 7A GUILLAIN-BARRE SYNDROME (GBS) | 4F1 GBS, fulminant (Case 4) 136a - Copy

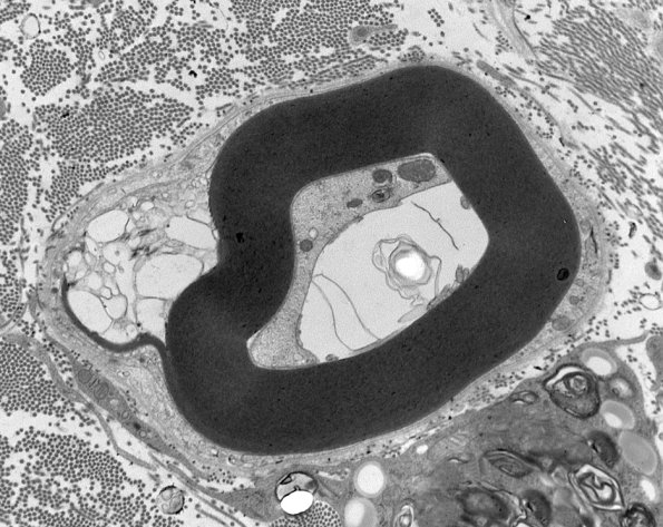
4F1  GBS, fulminant (Case 4) 136a - Copy
4F1,2 In this case there appears to be equivocal demyelination. (electron micrographs)


Gallery RSS RSS Feed | Archive View | Login | Powered by Zenphoto