Table of Contents



Washington University Experience | PERIPHERAL NEUROPATHY | 7A GUILLAIN-BARRE SYNDROME (GBS) | 4F2 GBS, fulminant (Case 4) 137a - Copy

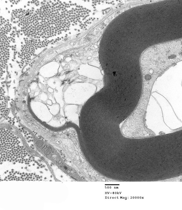
4F2 GBS, fulminant (Case 4) 137a - Copy
In this case there appears to be equivocal demyelination. (electron micrographs)


Gallery RSS RSS Feed | Archive View | Login | Powered by Zenphoto