Table of Contents
Washington University Experience | PERIPHERAL NEUROPATHY | 7A GUILLAIN-BARRE SYNDROME (GBS) | 4F6 GBS, fulminant (Case 4) 130a - Copy
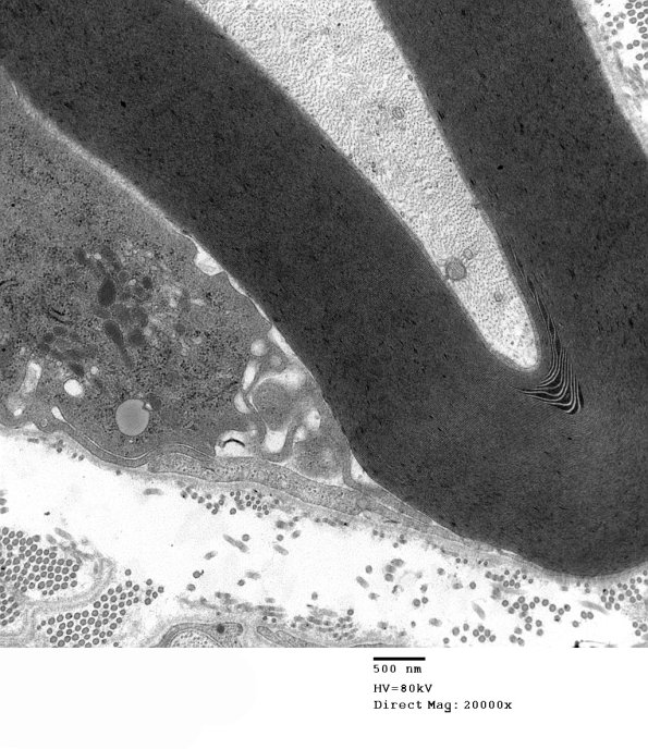
This series of images show a macrophage within the Schwann cell sheath with processes beginning the process of demyelination. (electron micrograph)
