Table of Contents
Washington University Experience | PERIPHERAL NEUROPATHY | 7A GUILLAIN-BARRE SYNDROME (GBS) | 4F8 GBS, fulminant (Case 4) 140a - Copy
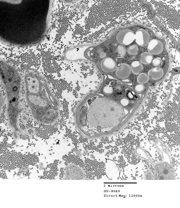
In this case the naked axon abuts the macrophage with well developed lipid droplets consistent with catabolism of myelin fragments. (electron micrograph)
