Table of Contents
Washington University Experience | PERIPHERAL NEUROPATHY | 7A GUILLAIN-BARRE SYNDROME (GBS) | 4F9 GBS, fulminant (Case 4) 090 - Copy
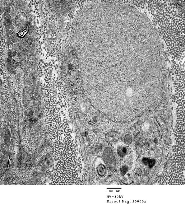
There were numerous examples of demyelinated axons in anticipation of remyelination. (electron micrograph) ---- Denouement: We think that this case represents fulminant GBS in which marked axonal degeneration dominants this histopathology and ultrastructure.
