Table of Contents
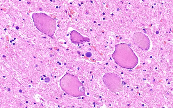
Washington University Experience | PERIPHERAL NEUROPATHY | 7A GUILLAIN-BARRE SYNDROME (GBS) | 5D2 (Case 5) H&E 40X 3
Although neuron number is preserved, many of the neurons show central chromatolysis reflecting significant axon damage within the roots. (H&E)
