Table of Contents
« prev
next »
Washington University Experience
|
PERIPHERAL NEUROPATHY
|
7A GUILLAIN-BARRE SYNDROME (GBS)
|
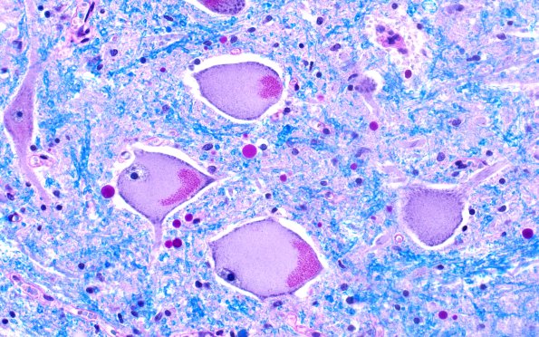
5E (Case 5) LFB-PAS 40X 2
Chromatolytic neurons stained with LFB-PAS.
Image Info
Camera Maker:
Olympus
Camera Model:
DP74
Shutter Speed:
36/7045 sec
Metering Mode:
Multi-Spot
Gallery RSS
|
Archive View
|
Login
|
Powered by
Zenphoto